Rudy Aldaragi DDS:
Clinical cases

Your path to a perfect smile starts with our success stories

In our clinical cases gallery, we showcase the transformative results we’ve achieved for patients in Plano. You’ll find a collection of real-life examples of how our expert team has helped individuals restore, enhance, and maintain their smiles through advanced dental treatments. 

From routine procedures to complex restorations, each case highlights our commitment to providing personalized, high-quality care. Explore the possibilities for your own smile, and see how we can help you achieve the healthy, beautiful teeth you deserve.

Invisalign clear aligners displayed on a dark surface, showcasing their transparent design and custom fit for orthodontic treatment in Plano, Texas.

Plano Orthodontic Smile Transformations: Before & After

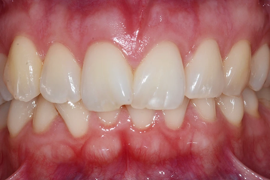
Close-up of a patient's teeth showing misalignment and discoloration, illustrating dental issues addressed by orthodontic treatments like clear aligners at Rudy Aldaragi DDS in Plano. Close-up image of aligned teeth after orthodontic treatment, showcasing improved dental aesthetics and oral health, relevant to orthodontic services offered by Rudy Aldaragi DDS in Plano.
Close-up of upper front teeth showing alignment issues, highlighting the need for orthodontic treatment to improve dental aesthetics and function. Close-up of aligned teeth after orthodontic treatment, showcasing improved dental aesthetics and function, relevant to Invisalign clear aligners and orthodontics in Plano.
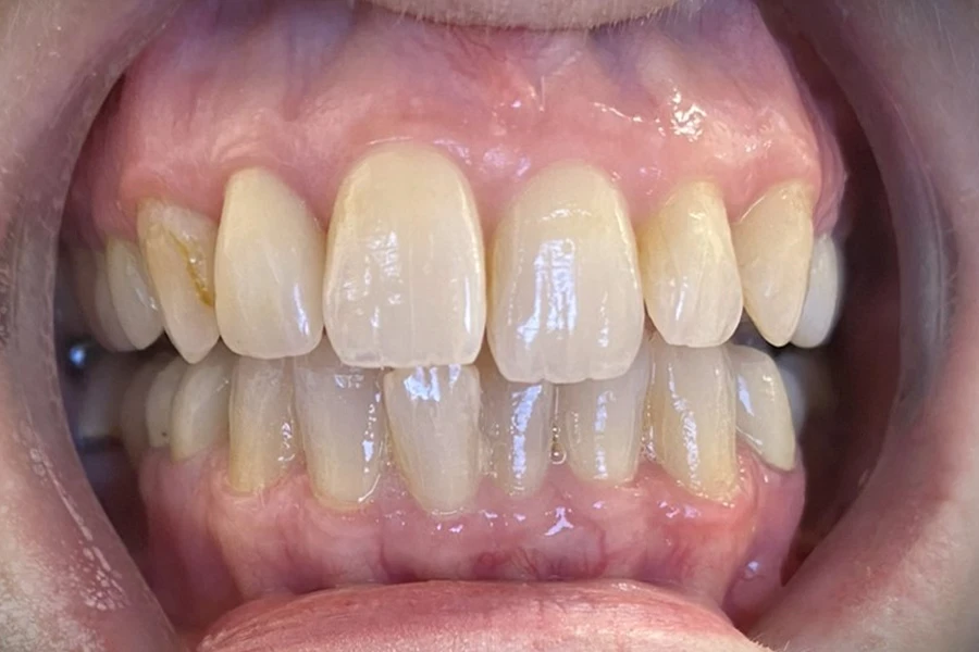
Close-up image of teeth showing misalignment and gum health issues, highlighting the need for Invisalign treatment at Rudy Aldaragi DDS in Plano, Texas. Before-and-after comparison of teeth alignment showcasing improved dental aesthetics after Invisalign treatment.
Close-up of teeth showing alignment issues, highlighting the need for Invisalign treatment in Plano, Texas. Close-up of a healthy smile showcasing straight teeth and pink gums after Invisalign treatment, reflecting the results of orthodontic care at Rudy Aldaragi DDS in Plano, Texas.
Close-up of teeth showing misalignment before Invisalign treatment, highlighting dental aesthetics and orthodontic concerns. Before-and-after comparison of a patient's smile after Invisalign treatment, showcasing straightened teeth and improved dental aesthetics.
Before Invisalign treatment, close-up view of teeth showing uneven alignment and plaque buildup, highlighting the need for orthodontic intervention at Rudy Aldaragi DDS in Plano, Texas. Close-up of a person's teeth showing straightened smile after Invisalign treatment, highlighting improved dental alignment and aesthetics.
Before treatment photo of teeth showing misalignment and discoloration, illustrating the need for Invisalign clear aligners for dental improvement at Rudy Aldaragi DDS in Plano, Texas. Before-and-after comparison of teeth after Invisalign treatment, showcasing improved alignment and dental aesthetics.
Close-up of teeth before Invisalign treatment, showcasing alignment issues and gum health, relevant to orthodontic services at Rudy Aldaragi DDS in Plano, Texas. Close-up of straight, polished teeth showcasing the results of Invisalign treatment, highlighting improved dental aesthetics and oral health.
Close-up of teeth showing misalignment and discoloration, highlighting the need for Invisalign treatment for improved dental aesthetics in Plano, Texas. Before-and-after image of teeth alignment after Invisalign treatment, showcasing improved dental aesthetics and health.
Close-up of upper front teeth showing alignment issues, relevant to Invisalign treatment options at Rudy Aldaragi DDS in Plano, Texas. Close-up of straightened teeth after Invisalign treatment, showcasing improved dental alignment and aesthetics for a confident smile.

Cosmetic dentistry

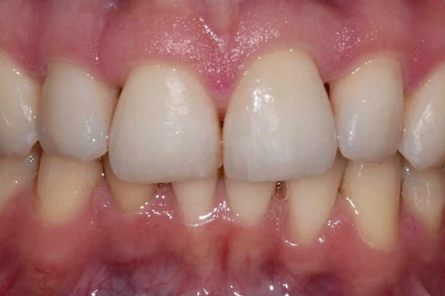
Close-up of a patient's teeth showcasing dental veneers, highlighting cosmetic improvements and natural appearance for enhanced smiles in dental treatment. Close-up of a flawless smile showcasing dental veneers, highlighting the natural appearance and alignment of teeth, relevant to cosmetic dentistry services in Plano, Texas.
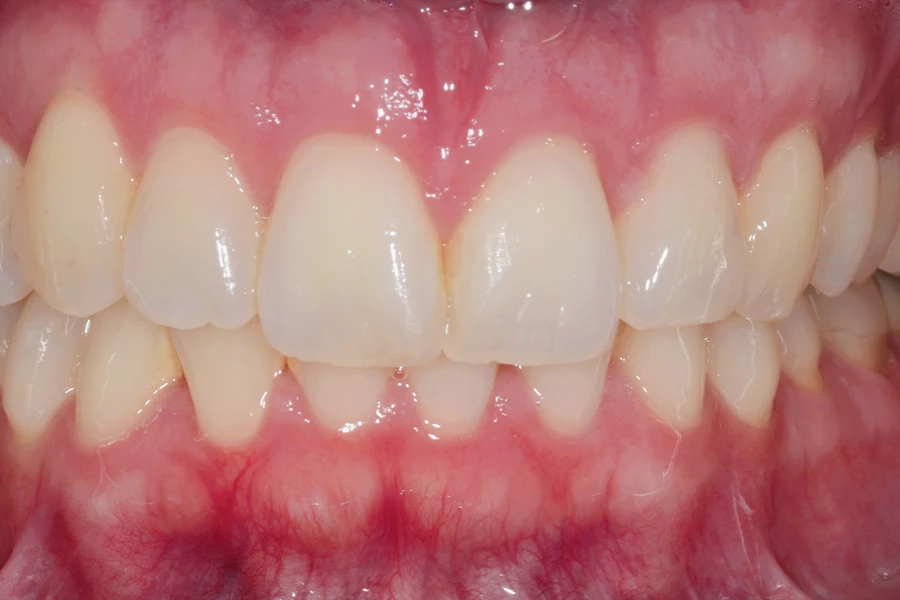
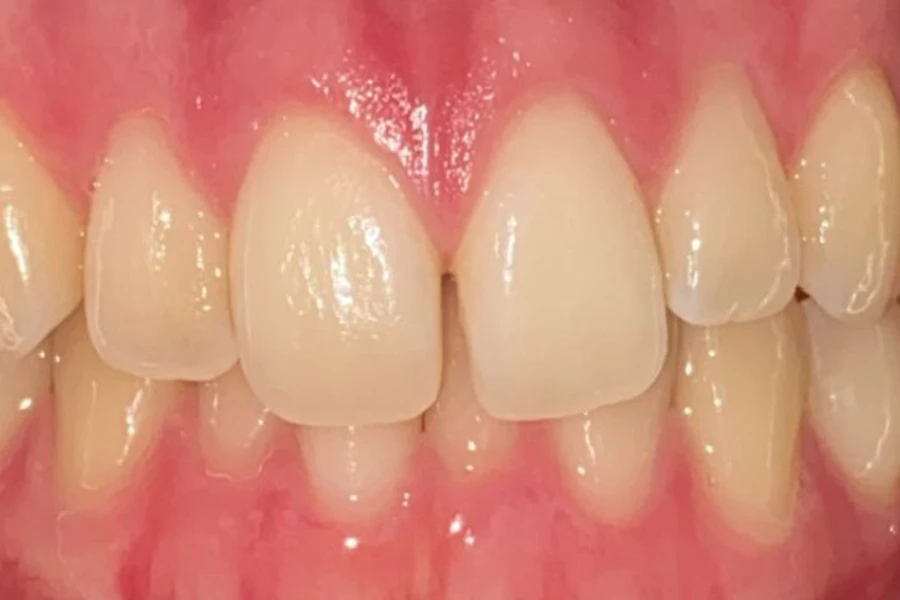
Close-up of healthy, aligned teeth showcasing a bright smile, relevant to cosmetic dentistry services offered by Rudy Aldaragi DDS in Plano. Close-up of healthy, white teeth showcasing a flawless smile, relevant to cosmetic dentistry services offered by Rudy Aldaragi DDS in Plano, emphasizing aesthetic improvement and oral health.
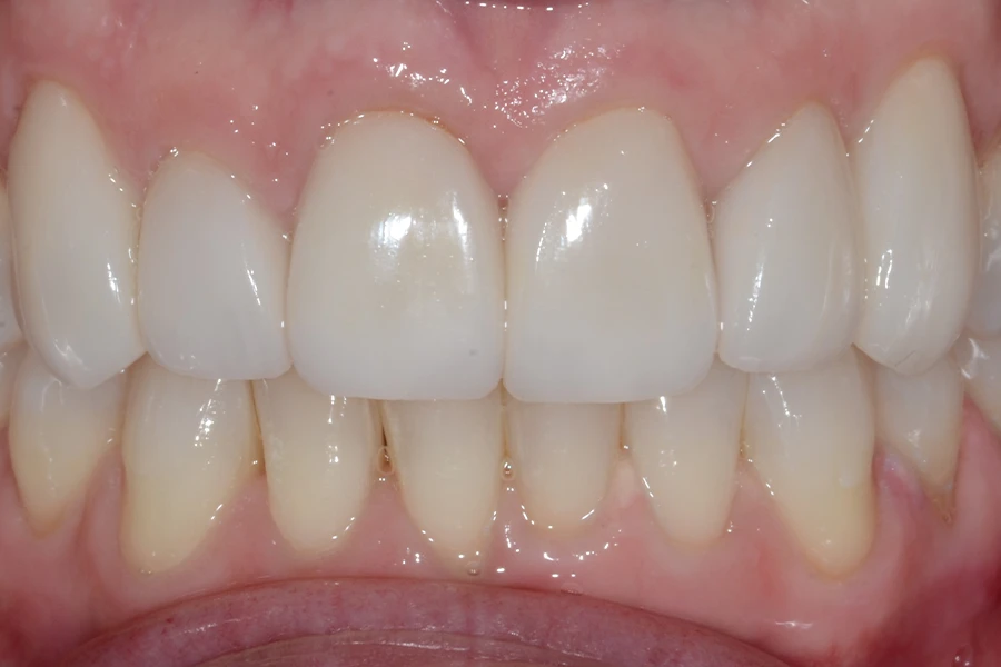
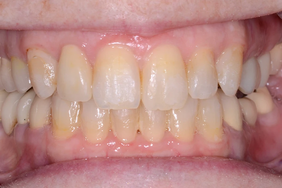
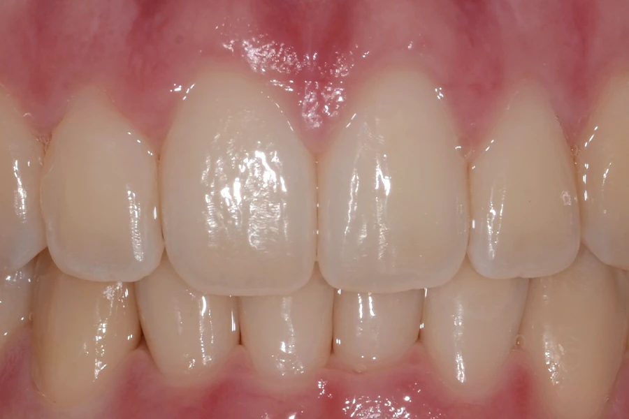
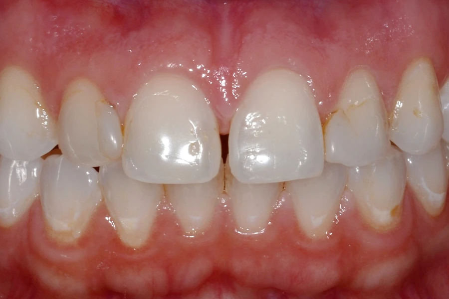
Close-up of a person's smile showing uneven teeth and gum lines, illustrating the need for dental veneers for cosmetic enhancement in Plano, Texas. Close-up of a smiling mouth showcasing dental veneers, highlighting a natural and enhanced smile, relevant to cosmetic dentistry services in Plano, Texas.
Close-up of a person's mouth showing dental veneers on the upper teeth, highlighting cosmetic dental work and smile enhancement. Close-up of a smile showcasing dental veneers, highlighting improved tooth color and alignment, emphasizing cosmetic dental transformation in Plano.
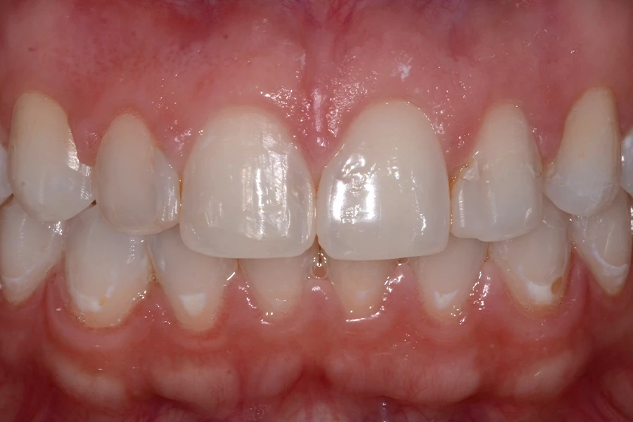
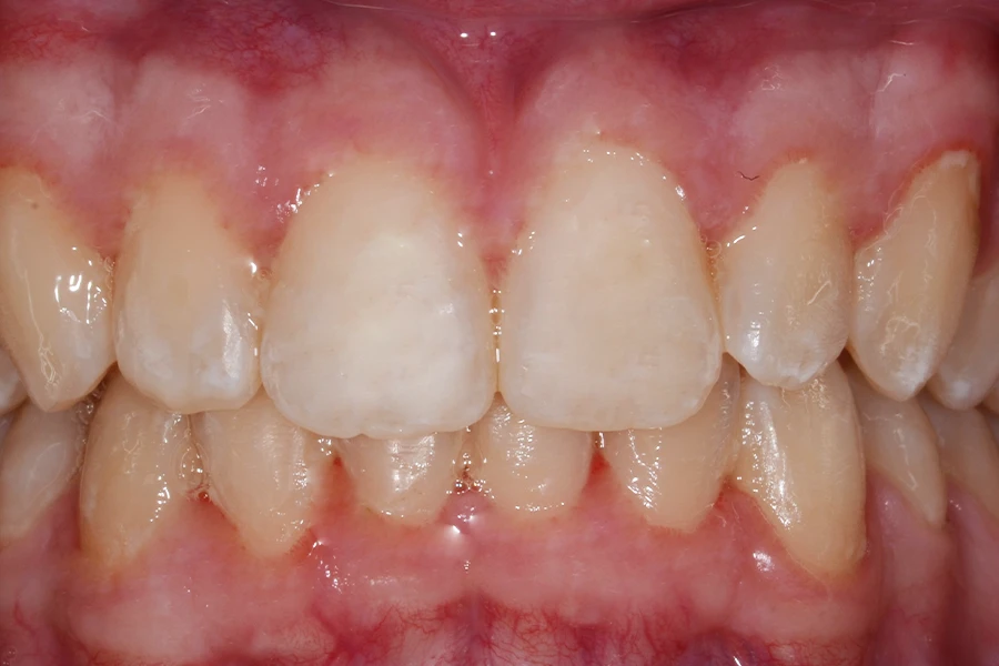
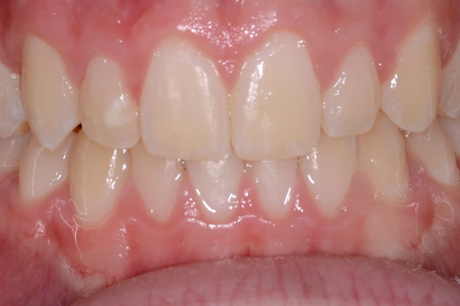
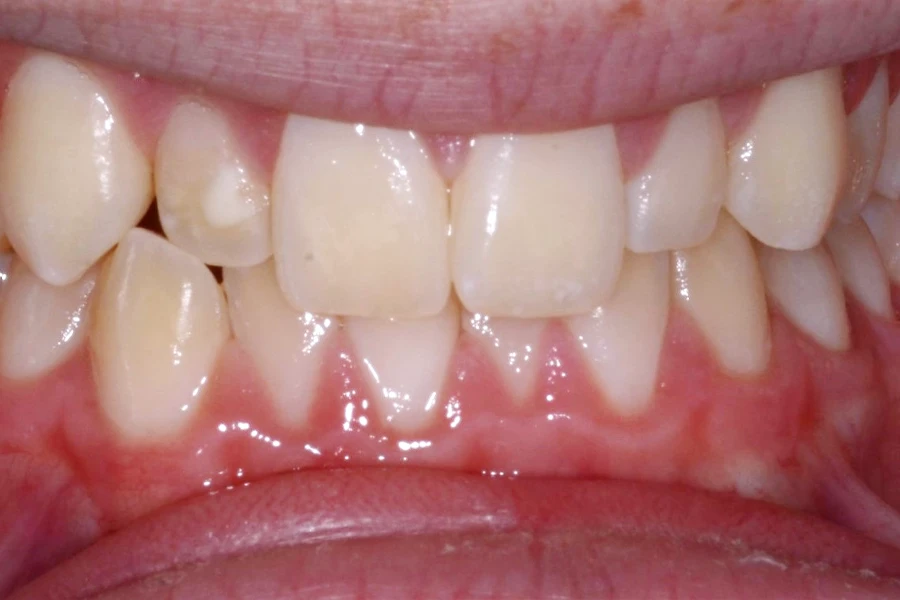
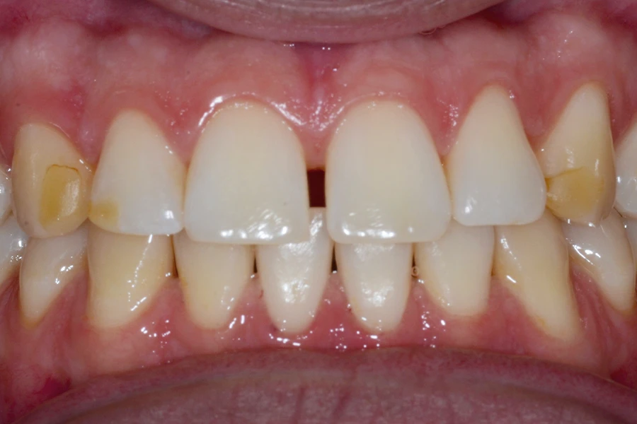
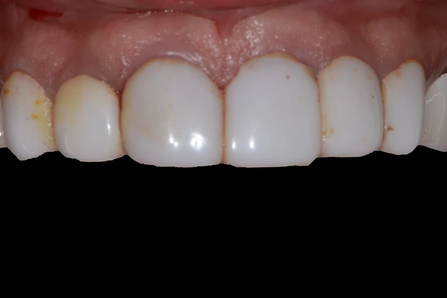
Before image of porcelain veneers showing discolored teeth, demonstrating the need for dental lumineers for a brighter smile. Close-up of a bright, even smile showcasing porcelain dental lumineers, highlighting improved tooth shape and color.
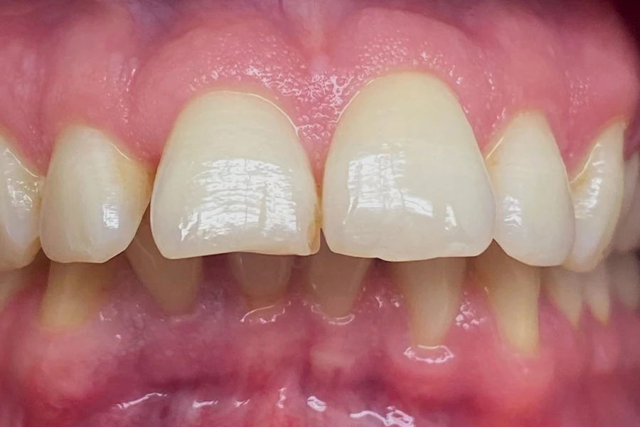
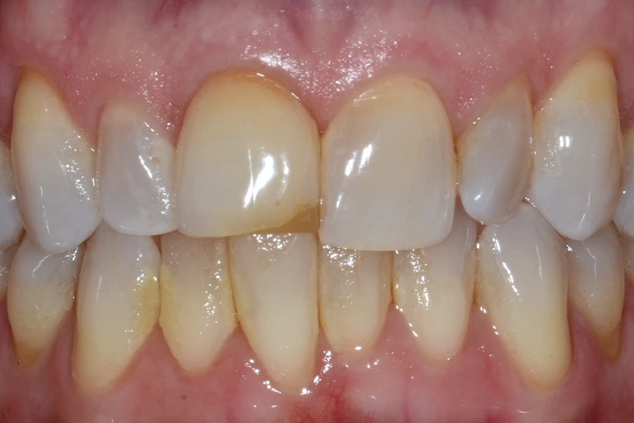
Before image of dental lumineers showing uneven tooth shape and color, highlighting the need for cosmetic improvement in smile aesthetics. Close-up of a smile showcasing dental lumineers, featuring bright, white teeth with a natural appearance, emphasizing cosmetic enhancement and aesthetic improvement.
Close-up of dental lumineers applied on teeth, showcasing the ultra-thin veneer and natural tooth structure, highlighting the minimally invasive cosmetic dentistry solution offered in Plano, Texas.
Dental implants with natural-looking crowns in a jawbone model, illustrating All-on-4 implant procedure for smile restoration in Plano.

Dental implants

Close-up of a person's mouth showing missing tooth and dental implant, illustrating the need for dental implants to restore smile and function. Close-up of a smile showcasing dental implants, highlighting restored teeth and improved oral aesthetics after dental implant procedure, relevant to dental implant services in Plano.
Dental implant case before treatment, showing missing teeth and gum condition, illustrating the need for dental implants to restore function and aesthetics. Dental implant restoration showcasing natural-looking teeth alignment and gum health after treatment, illustrating successful dental implant procedure by Dr. Rudy Aldaragi in Plano.

Other treatments

Close-up of damaged tooth with decay between healthy teeth, illustrating dental concerns addressed by restorative dentistry treatments in Plano. Close-up of a dental restoration case showing several teeth with visible damage and discoloration, illustrating the need for restorative dentistry treatments in Plano.
Close-up of healthy teeth and gums following tissue grafting procedure, showcasing the surgical site and highlighting oral health care in advanced dental surgery. Close-up of healthy upper front teeth and gums, showcasing dental aesthetics relevant to oral surgery treatments at Rudy Aldaragi DDS in Plano.
Close-up of a tooth with decay next to healthy teeth, illustrating dental restoration needs in restorative dentistry. Close-up of restored teeth in a dental setting, showcasing smooth, natural-looking surfaces as part of restorative dentistry treatments in Plano.
Close-up of dental restoration with metal fillings and natural teeth, illustrating a clinical case from Rudy Aldaragi DDS showcasing advanced dental treatments for smile enhancement. After dental treatment showcasing restored teeth with fillings and a silver dental restoration, highlighting the results of cosmetic dentistry and restorative procedures.
GentleWave root canal procedure in action, showcasing multidimensional sound wave technology cleaning and disinfecting the root canal system with precision and reduced invasiveness.

Do you want to know more about
our dental treatments in Plano?

GentleWave logo representing advanced root canal technology for enhanced dental care in Plano.
Privacy Overview

This website uses cookies so that we can provide you with the best user experience possible. Cookie information is stored in your browser and performs functions such as recognising you when you return to our website and helping our team to understand which sections of the website you find most interesting and useful.